7-Day Cancer Recovery Retreat

Step Away From Chemical Toxin Stress
Step Into Recovery.

When Treatment Feels Overwhelming…

It’s Time to Support Your Body Differently

Cancer is not just a physical journey.
It affects your energy, your emotions, your sleep—and your sense of control.

What many people are not told is this:

Recovery is not only about treatment.
It’s also about the environment you place your body in.

A Different Approach to Cancer Recovery

At this retreat, we do not replace your medical treatment.
We support your body alongside it—by focusing on:

  • Reducing internal stress
  • Supporting immune function
  • Improving metabolic and cellular balance
  • Creating the right conditions for recovery

When stress is reduced, the body is better able to direct energy toward recovery and immune support.

Targeted Integrative Cancer Support Therapies

A Natural Therapy You Can’t Replicate Back Home

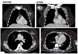
ECCT Therapy
(Electro-Capacitive Cancer Therapy)

A non-invasive therapy that uses low-intensity electric fields, designed to:

  • Support cellular balance
  • Disrupt abnormal cell activity (supportive mechanism)
  • Complement conventional treatment approaches

Hyperthermia Therapy

  • Uses controlled heat to stress cancer cells
  • Enhances effectiveness of conventional treatments
  • Supports tumour sensitivity

Immunotherapy Support

  • Includes dendritic cell–based approaches and cytokine support
  • Helps the immune system recognise abnormal cells

Hydrogen Inhalation Therapy
(H₂ Therapy)

Emerging research suggests that molecular hydrogen may help to:

  • Support antioxidant activity by neutralising harmful free radicals
  • Reduce oxidative stress associated with chronic conditions
  • Support cellular balance and mitochondrial function
  • Promote a more stable internal environment for recovery

Detoxification & Cellular Support

Your body’s internal environment plays a critical role in recovery.

Therapies include:

  • Colon hydrotherapy
  • Lymphatic drainage
  • Nutritional IV support
  • Gentle detox protocols

Used as part of an integrative support strategy
—not a standalone treatment.

Why Travel to Malaysia?

  • Up to 50–70% more cost-effective than Australia
  • Access to integrative therapies not widely available locally
  • Healing environments surrounded by tropical rainforest
  • Premium wellness resort experience

Receive more support, for less cost, in a place designed for healing.

A Multi-Dimensional Approach
to Recovery

From advanced diagnostics to ECCT, metabolic therapy, and Hydrogen Therapy, this program brings together multiple modalities to support your body from different angles.

Because recovery is not driven by a single pathway.

It involves your immune system, metabolism, cellular environment, stress response, and overall internal balance—all working together.

What You’ll Experience

When the body is supported from multiple angles,
it is better positioned to respond, adapt, and recover.

Join us in the serene natural beauty of Malaysia
for a healthier, happier you.

What You May Feel After 7 Days

  • A personalised, integrative cancer support program
  • Functional health assessments and guided insights
  • Up to 20 complementary therapies and supportive treatments
  • Nutritional and metabolic support
  • Gut health and inflammation management
  • Mind-body practices for stress and emotional regulation
  • Gentle detox and cellular support therapies
  • Practical tools and routines to support ongoing recovery at home

You arrive exhausted.
You leave feeling different.

David L.Gold Coast, QLD
“After treatment, I struggled with sleep and emotional ups and downs. This program helped me feel more grounded and gave me tools I could continue using at home.”
Karen S.Canberra, ACT
“I’ve done many wellness programs before, but nothing in such a natural setting. Being surrounded by rainforest completely changed my stress levels within days.”
Robert P.Hobart, TAS
“The support was thoughtful and structured. I appreciated that everything was designed around my personal needs, not a one-size-fits-all approach.”
Natalie W.Sydney, NSW
“I came back home feeling calmer and more in control of my emotions. I didn’t expect such a deep sense of reset in just one week.”
Andrew B.Melbourne, VIC
“Emotionally, I felt like I could finally stop bracing myself all the time. That sense of calm made a huge difference in my day-to-day recovery experience.”

Frequent Questions & Answers

What is the purpose of this cancer recovery retreat?

This program is designed to support your recovery journey, not replace medical treatment.

It focuses on helping your body and mind restore balance through stress reduction, nutritional support, and integrative wellness practices in a calm, structured environment.

This program is suitable for individuals who are:

  • Undergoing cancer treatment
  • In remission or recovery
  • Experiencing fatigue, stress, or emotional overwhelm
  • Looking for supportive care to improve quality of life

In many cases, yes—but it depends on your condition.

We recommend consulting your doctor before joining. Our team will also conduct a pre-assessment to ensure the program is suitable and safe for you.

The program includes a range of non-invasive, supportive therapies, such as:

  • Nutritional and metabolic support
  • Stress and nervous system regulation practices
  • Gentle detox and recovery support therapies
  • Mind-body and relaxation techniques

Some components may be delivered in collaboration with
SOL Integrative Wellness Centre

The program is designed to support overall physiological balance, including factors that influence immune function such as stress, sleep, nutrition, and inflammation.

While it does not “treat” disease, many participants aim to improve their body’s resilience and recovery capacity.

Malaysia offers a unique combination of:

  • High-quality integrative wellness services
  • Lower overall costs compared to Australia
  • A tropical rainforest environment that supports relaxation and recovery

Locations such as Chateau Spa Bukit Tinggi and FRIM Kepong Forest Reserve provide a calm, nature-rich setting ideal for rest and reset.

No. The program is designed to be gentle and adaptable.

Activities are low-intensity, with rest periods built in. You may participate at your own pace and opt out of any activity if needed.

Individual experiences vary, but participants often report:

  • Feeling calmer and less stressed
  • Improved sleep and relaxation
  • Better emotional balance
  • Increased sense of clarity and control

The goal is to support a meaningful shift—not instant results.

You can begin by clicking the “Apply Now” button on this page.

Our team will guide you through a short assessment to ensure the program is suitable for your needs before confirming your place.

This Is Not a Holiday.
This Is Your Reset.

Meet Our Medical Team

Our highly expert, multidisciplinary medical team from around the world brings extensive experience to ensure every aspect of your care is optimized for the best possible outcome.